Ulla Moilanen
Yhdysvaltojen lounaisosien autiomaa-alueita asuttivat 700–1300-luvulla pueblointiaanit, joiden kulttuurissa ylimääräinen varvas toi omistajalleen mainetta ja kunnioitusta.
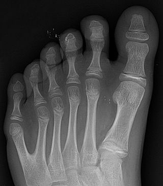
Jo aiemmin pueblointiaaneilla on havaittu hieman keskimääräistä enemmän polydaktyliaa: anatomista poikkeavuutta, jossa yksilöllä esiintyy ylimääräisiä sormia tai varpaita. Maya-intiaaneilla vastaava ominaisuus yhdistettiin yliluonnollisiin voimiin, mutta American Antiquity -sarjassa julkaistun uuden tutkimuksen (Crown et al. 2016) mukaan puebloilla ei ollut vastaavaa uskomusta. Tutkimuksen mukaan kuusivarpaisia kunnioitettiin kyllä poikkeuksellisen paljon, mutta ominaisuutta pidettiin kuitenkin myyttisen sijaan tuttuna ja mahdollisesti jopa arkisena.

Polydaktylian yleisyyttä tutkittiin analysoimalla 96 luurankoa Pueblo Boniton 800–1100 -luvuille ajoittuvalta kohteelta. Vainajien joukosta löydettiin kolme yksilöä, joilla on kuudes varvas oikeassa jalassa. Prosentuaalisesti määrä on paljon, sillä se edustaa noin 3,1 % kohteen asukkaista. Nykyamerikkalaisilla polydaktylian esiintymisyleisyys vaihtelee 0,2–1,4 %:n välillä.
Pueblo Boniton asumuksia on usein koristeltu käsi- ja jalkapainantein, joiden joukossa on toisinaan havaittavissa ylimääräisiä varpaita. Kuusivarpaisten painanteiden havaittiin olevan hieman yleisempiä kivaksi kutsuttujen rituaalihuoneiden sisäänkäyntien yhteydessä, ja kuusivarpaiset henkilöt oli myös yleensä haudattu näiden huoneiden lähistölle. Yhden vainajan kuusivarpaisessa jalassa oli myös koristeellinen nilkkakoru, jolla voi olla erityistä symboliikkaa.


Kuusivarpaisuus oli siis pueblointiaanien parissa melko yleistä, ja se on voinut vaikuttaa henkilön sosiaaliseen asemaan korottavasti. Juuri positiivinen suhtautuminen poikkeavuuteen on voinut vaikuttaa sen lisääntymiseen yhteisössä. Toisaalta tutkijat ovat myös pohtineet, olisivatko yhteisön odottavat äidit sittenkin voineet altistua haitallisille aineille, jotka puolestaan olisivat voineet edesauttaa ominaisuuden lisääntymistä.
Käytetyt lähteet:
Crown, P.L. et al. 2016. Foot Notes: The Social Implications of Polydactyly and Foot-Related Imagery at Pueblo Bonito, Chaco Canyon. American Antiquity, Vol. 81, Nr 3, July 2016: 426-448(23).
Sidder, A. 2016. Extra Fingers and Toes Were Revered in Ancient Culture. National Geographic 25.7.2016.